Implant Consultation
| Appointments: | Every Thursday from 13.30 Uhr to 15.00 Uhr |
| Location: | Outpatient Consultaton Room 2 in the Clinic |
| Registration: | tRequest by Telephone |
| Telephone: | 0391-67-15170, 0391-67-15400 |
| Contact Person: | KD Dr. Dr. Ch. Zahl, OA Dr. T. Stanarius, Fr. A. Lehman |
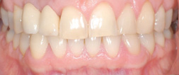
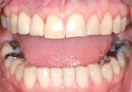
Since 1992, titanium screw implants have been inserted in edentulous sections of the upper and lower jaw in the clinic. Such dental implants serve as artificial tooth roots which, in combination with a tooth-crown-like superstructure (superstructure), enable the restoration of isolated tooth gaps with a crown, in the case of several missing teeth with a crown block, and finally in the case of an edentulous jaw with a fixed prosthesis.
During the consultation, a clinical examination of the existing teeth, the jaws and an analysis of the X-ray images is performed. These exploratory examinations and an additional interview with the patient can determine the extent to which the placement of implants is possible in the respective individual situation and also exclude factors that would impair the chances of success of implant placement.
In accordance with the patient's ideas and wishes, conceivable implant-supported prosthetic solutions are presented. In detail, the necessary surgical procedures are explained, the different healing times in the upper and lower jaw are pointed out and, if necessary, the possible later implant-supported dentures are described in consultation with the dentist in charge.
One of the prerequisites for a successful and durable implant restoration is sufficient height and width of the remaining jaw bone. A special focus of the clinic is to create a favorable implant site for implantation by depositing autologous bone or bone substitute materials in the maxilla by introducing the bone into the maxillary sinus.


