Elbow
Radial Head Fractures
Definition:
The radius head fracture is a fracture near the elbow portion of the spinal bone. It occurs mostly due to a fall on the outstretched hand. The radial "head" is the knobby end of the radius where it meets the elbow. Radius head fractures represent approximately 20-30% of all fractures around the elbow, with men and women being affected approximately equally. The division of the radius head fracture takes place in
- unshifted fractures (type I)
- shifted fractures (type II)
- debris fractures (type III),
The different fracture forms also result in different therapies.
Symptoms:
After falling on the outstretched arm, pain often occurs in the area of the outside elbow. There is a painful restriction of flexion in the elbow, as well as an increase in pain on rotation of the hand. There may also be swelling and bruising (hematoma).
Diagnosis and therapy:
The first indication of the existence of a radius head fracture can be from the description of the accident as well as the existing complaints. This suspicion is confirmed by an extensive examination of the elbow and an "imaging" by X-ray. In addition, it is often necessary to perform a computed tomography (CT) of the elbow in order to make a clear classification of the present fracture. The radius head fracture can be treated both conservatively and surgically, whereby the indication for the respective form of therapy depends on large extent on the amount of fractures present.
- Conservative therapy:
A fracture classified as unshifted can be treated conservatively. Painkillers are prescribed and physiotherapeutic exercise of the elbow is carried out at an early stage in order to avoid a restriction of movement and stiffening of the elbow. An immobilization by means of upper arm splint is often not necessary and is only carried out in the case of severe pain and then only for a short time.

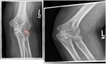
Photo: An undislocated fracture that can be treated conservatively.
- surgical therapy:
If the image diagnostics performed (X-ray, CT) shows that a fractured bone part is displaced in the area of the joint surface (type II) or that the fracture is really present with several fragments (comminuted fracture (type III)), an operative therapy regime is required to restore the function of the radius head in the elbow joint. The extent of the surgical intervention depends on the extent of the fracture. While a fracture with only one displaced fragment can often be refixed with two small screws or a small metal plate, in a multiple fragment fracture situation it is often necessary to remove the complete radius head (resection) because reconstruction is no longer possible. This condition can be left if no instability of the elbow joint can be detected intraoperatively. If there is instability after resection of the radius head, implantation of a radius head prosthesis (artificial replacement of the radius head) is necessary.
|
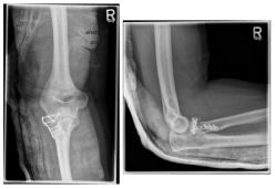
Photo: A fracture with several framents |
Photo: The fracture on the left is after an operation with a plate and screws |
Aftercare:
The follow-up treatment of a radial head fracture depends primarily on the therapy performed. If the fracture is undisplaced, in most cases, the patient is not immobilised by means of a splint. Instead, an intensive physiotherapeutic exercise of the elbow is carried out in order to keep the movement restriction resulting from the fracture as low as possible. If the fracture situation required surgical treatment (screwing, plating or prosthetic restoration), the arm is often immobilised postoperatively for approx. 3 weeks using a plaster splint. In order to minimise movement restrictions of the elbow in these cases as well, the physiotherapeutic exercise of the elbow is started shortly after the surgical intervention. After completion of the surgical wound healing, the scope of movement is rapidly increased as part of the physiotherapy, whereby active movement exercises can be carried out approximately 3 weeks after the operation.


