Prof. Dr. Dimitrios Mougiakakos
Department of Hematology and Oncology
Prof. Dr. Verena Keitel-Anselmino
Department of Gastroenterology, Hepatology und Infectiology
Prof. Dr. Peter Mertens
Department of Nephrology, Diabetology and Endocrinology
RESEARCHERS OF THE HZI AND OF THE UNIVERSITY OF MAGDEBURG FIND INCREASED IMMUNE REACTION ASSOCIATED WITH A RARE BONE MARROW DISEASE
Patients afflicted by myeloproliferative neoplasia – a group of chronic malignant bone marrow diseases – bear a mutation in their haematopoietic stem cells. The mutation leads to the bone marrow producing too many blood cells, which thickens the blood. This can lead to blood clots or clogged blood vessels, which may trigger, e.g., a stroke. Scientists of the Helmholtz Centre for Infection Research (HZI) in Braunschweig and of the Otto von Guericke University Magdeburg recently discovered that certain cells of the immune system also bear this mutation in those patients that possess a particularly large number of altered stem cells. The impact of this scenario on the defence against pathogens was investigated in mice by the scientists. They published their results in Leukemia.
The bone marrow harbours the haematopoietic stem cells that produce the various types of red and white blood cells and platelets. They are induced to do so by messenger substances that bind to them and trigger a reacti
on chain, in which many different components partake. In a rare malignant group of blood diseases called myeloproliferative neoplasia (MPN), most of the patients have haematopoietic stem cells that bear an error in their genetic material – a mutation. The mutation usually resides in a certain component of the reaction chain called Janus kinase 2 and causes the signal for haematopoiesis to be permanently switched on in the stem cells. Depending on which type of stem cell is afflicted, the bone marrow of the patients produces the corresponding blood cells – the blood becomes too thick and may clog the vessels. MPN patients usually are treated with an inhibitor of Janus kinase 2 that suppresses the continuous signal triggering haematopoiesis. However, this also weakens the immune cells such that the patients become more susceptible to infections.
Prof Dirk Schlüter of the Otto von Guericke University Magdeburg, who is associated with the Helmholtz Centre for Infection Research (HZI) in Braunschweig, investigated patients with different severities of myeloproliferative neoplasia in a close cooperation with the haematologists, Prof Florian Heidel and Prof Thomas Fischer from Magdeburg. They found that 60 per cent of the patients, who have a particularly large number of damaged stem cells, bear the mutation in their so-called T cells as well. These cells of the immune system specifically fight against pathogens that entered the body. "It was previously unknown that so many MPN patients bear the mutation in their T cells as well," says Dirk Schlüter. "In order to find out what this actually means for the patients, we combined the clinical studies with studies on mice." For this purpose, the scientists in Schlüter's team bred mice, whose T cells bear the Janus kinase 2 mutation, and compared these animals to healthy mice.
"Despite the mutation, the mice seemed to be well-off, there was no difference to the control animals," Schlüter says. The scientists then infected the mice with Listeria monocytogenes. Listeria bacteria colonise food items and can cause severe infections in humans including meningitis. When the scientists investigated the mice, they found: Seven days after the infection with Listeria, the mice with the mutated T cells had 100-fold lower levels of bacteria in their spleen than the control mice. They had formed clearly more specific T cells directed against Listeria and were thus able to control the infection better than the control animals without a mutation in T cells. "We also looked at the numbers of the other blood cells in the spleen of the infected animals: Not only the T cells, but also the granulocytes and the precursors of erythrocytes were strongly increased in the mice bearing the mutation," Schlüter says. "Again, this makes the blood too thick and there is a risk of thrombosis. In addition, inflammation parameters were elevated in the mice."
To exclude that the increased formation of blood cells was triggered by the Listeria bacteria alone, the scientists repeated the experiments with a plant lectin with a stimulatory effect on the immune system. "The lectin activated the immune system and the T cells of the mice – much like the Listeria bacteria," Schlüter says. "We observed the same effects as in the infection experiments: Mice bearing the T cell mutation showed a clearly stronger immune response, granulopoiesis and elevated haematopoiesis as well." This, he says, demonstrates that the vigorous reaction of the immune system truly is related to the mutation in the T cells.
As a next step, Dirk Schlüter and his team aim to look at the mechanism of T cell activation by the mutated Janus kinase 2 in order to find out why there is no counter regulation in the body. Moreover, it is not yet known what the mutation in the T cells means for patients afflicted by myeloproliferative neoplasia. "In collaboration with haematologists from the University Clinics in Magdeburg and Jena, we plan to find out if these patients might have more autoimmune symptoms, if they possibly have a different prognosis than other MPN patients and therefore might need a different therapy." Schlüter and Fischer are both members of the Health Campus Immunology, Infectiology and Inflammation (GC-I³) of the University of Magdeburg. True to the GC-I³s slogan „Understand Inflammation – Cure Diseases“, they are trying to understand inflammatory processes, which are the basis of so many common diseases, in order to prevent and cure those.
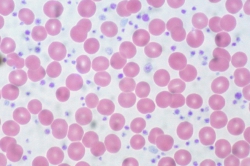
Photos: Left: Blood smear of a myeloproliferative neoplasia patient with a significant increase in the number of platelets (purple) as compared to the clearly larger red blood cells. Right: Schematic model of a T cell (Photographers: Ed Uthman/CC BY 2.0; Pixabay)
Original Publication:
G. Nishanth, D. Wolleschak, C. Fahldieck, T. Fischer, A. Mullally, F. Perner, T.M. Schnöder, S. Just, F.H. Heidel and D. Schlüter: Gain of function in Jak2V617F-positive T-cells. Leukemia, 2017; doi: 10.1038/leu.2017.6
Source: Press office of the Helmholtz-Centre for Infection Research:
Scientists at the Helmholtz-Centre for Infection Research (HZI) are investigating the mechanisms of infections and defenses against them. Understanding what makes bacteria and viruses become pathogens is the key to developing new medicines and vaccinations.
Prof. Dr. Dimitrios Mougiakakos
Department of Hematology and Oncology
Prof. Dr. Verena Keitel-Anselmino
Department of Gastroenterology, Hepatology und Infectiology
Prof. Dr. Peter Mertens
Department of Nephrology, Diabetology and Endocrinology
Dr. rer. nat. Martina Beyrau
Press and Public Relations Officer of SFB 854 & GC-I³
Institute of Molecular and Clinical Immunology
Leipziger Straße 44, House 26
39120 Magdeburg
E-mail: martina.beyrau@med.ovgu.de
Last Modification: 09.11.2020 - Contact Person: